英文版
  您当前的位置 : 天津中医一附属医院 >> 冠心病专病研究专区
险中求胜,绝处逢生 ---心血管科完成1例高危冠状动脉桥血管病变介入治疗
稿源:   2020年09月04日

  近日,心血管科收治1例因冠状动脉桥血管闭塞导致的急性心肌梗死患者。该病例为70岁男性患者,11年前因胸痛就诊于外院,考虑“急性心肌梗死”,冠脉造影提示冠脉严重狭窄,血管较细小,行冠状动脉旁路移植术,移植3支桥血管。2年前于外院查冠脉CTA示:一支桥血管完全闭塞,其余桥血管严重狭窄,患者反复发生心绞痛,先后就诊于多家医院,医生均告知冠脉病变复杂、桥血管狭窄严重,手术风险极高,不建议介入或再次搭桥治疗,患者及家属被迫采取药物保守治疗,患者胸痛频繁发作,生活质量低下。

  半月前患者再次发作严重胸痛,近期就诊于华人策略,心电图、心肌酶、TNT等化验检查提示患者再发急性心肌梗死,病情危重,住院第一天就发作3次急性左心衰,血流动力学极不稳定,经积极抢救,病情初步得到控制,但患者进食、解小便等细微动作即可引发心衰、心绞痛发作。心血管科团队认真复习病人既往病历材料,组织病例讨论,商讨治疗方案,决定先改善心脏功能,适时行冠脉造影以评估冠脉病变处理可能性,为患者存活争取希望!

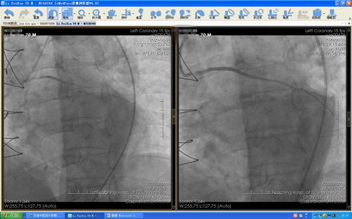
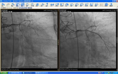
  经心血管科团队积极评估、充分准备后,于住院第4天(8月28日)在介入中心团队配合下顺利完成原位血管及桥血管造影,分别于原位血管及一支桥血管植入支架,心肌灌注明显改善,患者胸痛未再发作,生活质量明显好转。

  冠状动脉桥血管病变病情相对复杂,介入治疗难度较大,风险较高。心血管科医护始终秉承全心全意为患者服务理念,始终精益求精,选择坚守与探索,不忘初心,牢记使命,努力为患者生命安全与身体健康服务!

  图  原位血管及桥血管介入前后造影结果

  (心血管科供稿)

华人策略 - 华人策略研究论坛网站 版权所有.  技术支持:北方网
津ICP备09002945号-1
津公网安备 12010402000403号