英文版
  您当前的位置 : 天津中医一附属医院 >> 冠心病专病研究专区
心血管科成功救治2例冠脉左主干病变高危患者
稿源:   2020年09月07日

  在冠状动脉病变中,左冠状动脉主干病变(左主干病变)发病急、危险度高、病情凶险,极易发生心源性休克,病死率高,药物保守治疗5年存活率不到50%。针对左主干病变患者,应尽早开通血管、恢复血流、减少心肌坏死面积,但此类手术风险极高。心血管科近日连续成功救治2例左主干病变的高危患者,挽救了患者生命,提高了生存质量。

  病例一,男性,59岁,主因“胸痛3小时”由120送至华人策略急诊,急诊医师接诊后考虑“急性ST段抬高型心肌梗死”,床旁超声提示心脏功能极差,呼叫心血管科值班医师会诊,心血管科王贤良主任了解病情后,深夜紧急启动导管室,绕行CCU行急诊冠脉造影,造影显示左主干体部狭窄85%伴血栓,冠脉三支病变,病情凶险,紧急置入主动脉球囊反搏泵(IABP),无创呼吸机辅助通气,给予冠脉内溶栓,再次造影提示血栓影缩小,心脏功能恢复,考虑病变严重、病情危重,置入支架后血栓有可能进一步脱落影响心肌灌注,不适合立即置入支架,建议病情稳定后再择期介入或行冠脉搭桥治疗,凌晨2点手术顺利结束,患者安全返回CCU,后持续无创通气、漂浮导管监测血流动力学、IABP辅助,患者病情逐渐平稳,2天后患者家属选择转往外院行冠状动脉搭桥术。

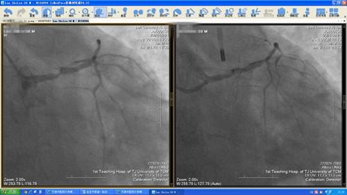
  病例二,男性,55岁,因胸痛先后2次就诊于外院,建议口服药物或择期行冠脉造影检查,后患者因胸痛反复发作,就诊于华人策略心血管科门诊,患者安静休息时症状不典型,稍一活动就觉得胸痛,头晕,门诊接诊医师结合患者心电图及症状,考虑“急性冠脉综合征”,即刻联系心脏重症监护室联系住院,入院时已是周六中午,胸痛中心介入团队人员纷纷赶回医院投入手术,急诊冠脉造影显示左主干起始95%狭窄,无创通气辅助呼吸,置入IABP,无创呼吸机辅助通气,经过心血管科团队及导管室人员通力合作、密切配合,于左主干植入支架1枚,术后患者生命体征平稳,立即拔除IABP,撤除呼吸机,安返心脏重症监护室病房。

  以上两例患者虽然均为左主干病变,但处理策略有所不同。病例一左主干体部狭窄伴血栓,心功能极差,首要问题是改善心功能,病情稳定后择期选择介入治疗或外科手术。病例二左主干起始95%狭窄,病情随时可能恶化,不进行干预随时面临灾难性的后果,应该立即处理,此类患者一旦处理策略失误,随时可能死亡,术前要做好充分预处理,预估可能出现的并发症,术中小心谨慎,术后做好护理及康复,只有这样患者才能存活!

  图1.1  第一例左主干病人心电图

  图1.2  第一例左主干病变造影及溶栓后造影结果

  图2.1  第二例左主干病人心电图

  图2.2  第二例左主干病变造影及支架后造影结果

(心血管科供稿)

华人策略 - 华人策略研究论坛网站 版权所有.  技术支持:北方网
津ICP备09002945号-1
津公网安备 12010402000403号